GPPとAGEPの適切な鑑別のためにー鑑別のためのスコアリングシステムー
サイトへ公開:2025年04月28日 (月)
クイックリンク

ご監修:
鶴田 大輔 先生
大阪公立大学大学院医学研究科 皮膚病態学 教授
1. はじめに
膿疱性乾癬(generalized pustular psoriasis; GPP)は、急激な発熱、倦怠感、浮腫といった全身症状とともに全身の皮膚が潮紅し、無菌性膿疱が多発する疾患です。GPPの臨床症状や急性症状の重症度は多岐にわたりますが、再発を繰り返すことが特徴です。また、GPPの急性症状に対し、適切な初期治療がなされなかった場合、心不全や腎不全、敗血症などの合併症につながり、生命を脅かす可能性もあります1)。
GPPと初期の臨床経過や病理像が類似している疾患の一つに、重症薬疹の一種である急性汎発性発疹性膿疱症(acute generalized exanthematous pustulosis; AGEP)があります。AGEPは抗菌剤などの医薬品が原因となり発症する場合が多い疾患ですが、GPPの急性症状の誘因として薬剤があることや、ウイルス感染など薬剤以外を原因としてAGEPを発症するケースがあること、一部の症例では共通の遺伝子異常(IL36RN、CARD14)を示すことなどから、両疾患の鑑別は臨床上の課題となっています2-4)。
本稿では、GPPとAGEPの臨床所見や病理所見を解説するとともに、GPPとAGEPを鑑別するために開発されたスコアリングシステムについて紹介します。
2.GPPとAGEPの病態
2-1)GPP
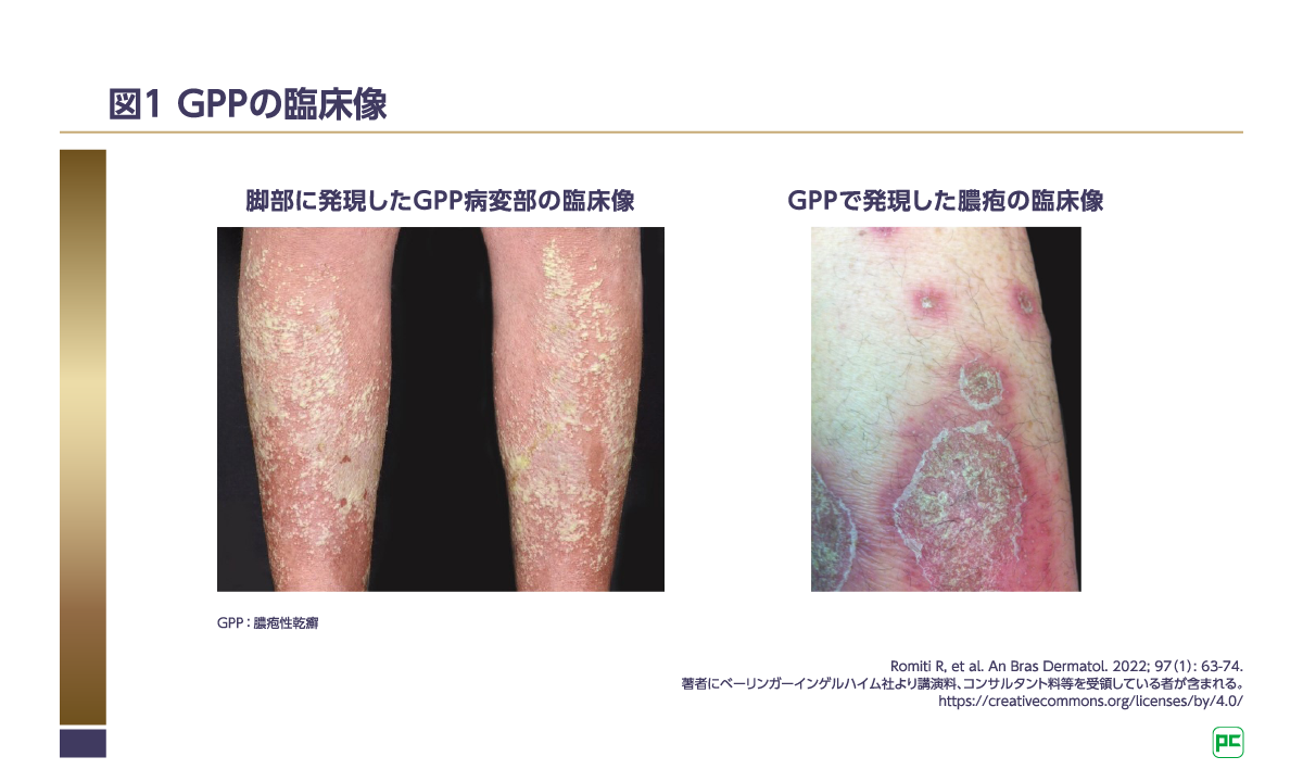
典型的なGPP症例では、浮腫性紅斑ないし乾癬の局面上に多数の無菌性膿疱が認められます。膿疱は3~5mm大で、容易に破れたり、融合して環状・連環状配列をとり、ときに膿海を形成します(図1)。また、膿疱はその後鱗屑になるため、細かい浸軟した鱗屑が目立つこともあります5)6)。一般的に発熱や悪寒、倦怠感、悪心、皮疹の疼痛などを伴い、爪甲肥厚や爪甲下膿疱、爪甲剥離などの爪病変、頬粘膜びらんや地図状舌などの口腔内病変がみられます。しばしば全身の浮腫、関節痛を伴い、ときに結膜炎、虹彩炎、ぶどう膜炎などの眼症状を併発することがあります7)。
GPPの病理組織像における表皮の所見は尋常性乾癬と類似しており、角化不全、表皮突起の延長、真皮乳頭部の表皮の菲薄化が認められます(図2)7)。また、GPPではKogoj海綿状膿疱を特徴とする角層下膿疱が形成され、単核球の表皮内浸潤、好中球の表皮への遊走がみられます5)7)。


2-2)AGEP
AGEPでは、高熱とともに急速に拡大する全身性の浮腫性紅斑あるいはびまん性紅斑の上に、多数の5mm大以下の膿疱が認められます(図3)。膿疱は毛孔に一致せず、頸部、腋窩部、陰股部などの間擦部や圧迫部に多発します。通常は灼熱感やかゆみを伴います。また、38 ℃以上の発熱や倦怠感、食欲不振を伴います3)。約20%の患者で粘膜疹がみられますが、通常は口腔にとどまり軽症です2)8)。
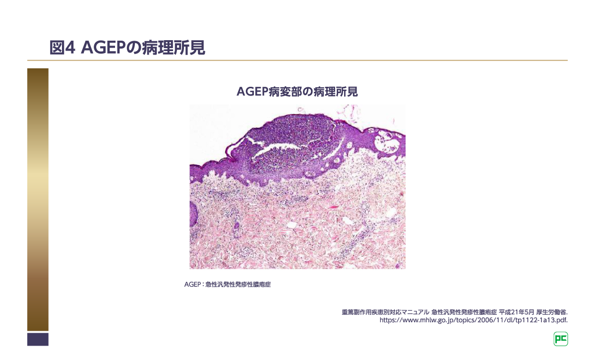
AGEPの表皮は、軽度の海綿状態を示し、角層下膿疱、あるいは表皮上層に膿疱が認められます(図4)。真皮上層は浮腫性で、血管周囲に好中球、好酸球、リンパ球の浸潤がみられます。時に、血管炎がみられることもあります3)9)。また、AGEPで形成される膿疱には好酸球が認められます9)。


3.GPPとAGEPを鑑別するスコアリングシステム10)
GPPとAGEPは臨床経過や治療法が異なるため、適切に鑑別する必要がありますが、両疾患を鑑別する明確な基準は報告されていません。
2024年に日本と米国におけるGPPとAGEPの臨床的および組織学的特徴を比較し、鑑別のためのスコアリングシステムを開発した研究が報告されました。本研究では、大阪公立大学と米国メイヨークリニックのGPP患者54例およびAGEP患者63例を対象に、人口統計学的所見、臨床所見、血液検査所見、病理組織学的所見、治療および予後について後ろ向きに検討されました。
GPP群とAGEP群の臨床所見からそれぞれの発症を予測するオッズ比を比較した結果、AGEP群と比べてGPP群では、関節炎、乾癬・関節炎の既往または家族歴、乾癬様局面/皮疹、再発において有意に高いことが示されました。一方、GPP群と比べてAGEP群では、原因薬剤の存在、薬剤投与後の急性発症、下肢紫斑において有意に高いことが示されました(表1)。また、病理組織学的所見においては、AGEP群と比べてGPP群では表皮内の形質細胞や、表皮に浸潤した好中球数の増加が有意に高いという結果でした(表1)。
これらの臨床的特徴に基づき、GPPとAGEPを鑑別するためのスコアリングシステムが開発されました(表2)。スコアリングシステムの検証には、オッズ比の算出に含まれなかったGPP患者16例、AGEP患者20例のデータが使用されました。このスコアリングシステムは、「関節痛」、「乾癬の既往または乾癬様局面/皮疹の存在」、「膿疱性疾患の再発または既往」、「関節炎の既往」、「下肢紫斑の存在」、「原因薬物の存在」の6項目から構成されており、各スコアの合計が-1以下の場合はAGEP、0以上の場合はGPPであることが示唆されます。


4.おわりに
GPPとAGEPは臨床経過や治療法が異なるため、適切に鑑別することが求められますが、両疾患の臨床所見や病理所見は類似しているため、鑑別に苦慮する場合もあります。両疾患の鑑別において、GPPでは関節痛の有無や、乾癬の既往または乾癬様局面/皮疹の存在が、AGEPでは下肢紫斑や原因薬物の存在が重要であると考えられています10)。
本稿でご紹介した内容がGPPとAGEPの適切な診断の一助となれば幸いです。
日本ベーリンガーインゲルハイム
メディカルチャット 利用規約
当社の「日本ベーリンガーインゲルハイム メディカルチャット」(以下「本サービス」といいます)のご利用に際しては、本利用規約が適用されますので、必ず以下の記載事項をご確認下さい。
利用規約
- 本サービスは、当社所定のウェブページから文字によりお問い合わせいただくことにより、当社医薬品等に関する一般的な情報を、人工知能あるいは当社担当者により、文字及び図表により回答するサービスです(以下、人工知能による回答サービスを「AIチャット」、当社担当者による回答サービスを「有人チャット」といいます。)。ただし、AIチャットによる回答を原則とし、有人チャットは、AIチャットでの回答に対し、有人チャットでの回答も希望された場合に、提供させていただきます。
- 本サービスをご利用いただくことができるのは、当社医薬品等を扱いかつ国内に在住する医療関係者の方に限られます。当該医療関係者以外の方は、ご利用いただくことができません。
- 本利用規約に同意いただけない場合、本サービスを利用いただくことができません。本利用規約を最後までお読みいただき、「同意して利用する」ボタンを押した上で、本サービスをご利用下さい。
- 本サービスは、当社医薬品等に関する一般的なお問い合わせに対して回答するものとし、次の各号に掲げるお問い合わせについては、回答しないものとします。
- 当社医薬品等と関係のないお問い合わせ、または本サービスの回答範囲を逸脱したお問い合わせ
- 具体的な症状や治療方法に関するお問合せ
- 当社に適用される法令、ガイドラインまたは行政上の指導、当社自主規制その他当社が遵守すべきルールにより回答できないお問い合わせ
- 文字化け等により入力内容が判断できないお問い合わせ
- 前各号に掲げるほか、本サービスにより、適切な回答をすることができないと当社が判断した事項に関するお問い合わせ
- 本サービスは、日本語のみに対応しています。
- 本サービスは、当社医薬品の副作用、不具合及び有害事象の報告を受け付けていません。
- お問い合わせの内容によっては、本サービスでは十分に回答できない場合もございます。予めご了承下さい。
- 本サービスの利用可能時間は、以下のとおりです。
- AIチャット
24時間365日 - 有人チャット
平日9:00~17:00
- AIチャット
- 前項に関わらず、メンテナンス及び障害等のため一時的に本サービスを中断する場合がございます。
本サービスのご利用の際には、原則として、個人情報(お名前、ご住所、電話番号、メールアドレス等)を入力しないようお願いします。ただし、AIチャット及び有人チャットを問わず、当社医薬品の適用外使用に関するお問い合わせについては、コンプライアンス上の理由により、当社より、氏名及び施設名の入力を求める場合がございます。この場合には、当社プライバシーポリシーの内容を確認いただき、同意いただける場合に限り、入力して下さい(プライバシーポリシーについては「VIII 利用規約、プライバシーポリシー」に記載のURLからアクセス下さい)。その他の場合に、当社より個人情報の入力を求めることは一切ございません。
- 当社医薬品のご使用にあたっては、最新の添付文書等をご確認下さい。
- 当社は、本サービスまたは本サービスにより提供される情報の利用に際し生じた結果については、一切責任を負いません。
本サービスの利用にあたり、以下の各号の行為を禁止します。
- 本サービスにより提供される情報を複製、複写、転載、改変等する行為
- 第三者または当社の知的財産権その他の権利を侵害する行為
- 第三者または当社を誹謗中傷し、または名誉・信用を毀損する行為
- 本サービスの利用による営利目的の行為
- 本サービスの運営又は他の利用者による本サービスの利用の妨げとなる行為
- 前各号のほか、当社が不適当であると判断する行為
当社は、いつでも本サービスの提供を終了、またはその内容を変更することができるものとします。
本サービスの利用に関しては、以下の利用規約及びプライバシーポリシーが併せて適用されますので、ご確認下さい。